|

Restauro Diretto
Total Body centrale superiore


Restauro
Diretto
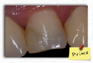
Piccolo Restauro di IV classe su 21


Restauro Diretto
III-V classe su 22


Restauro
Diretto
Diastema + frattura di IV classe su 11




Visualizza il caso completo >>
Faccette Indirette in Composito
Centrali Superiori


Sbiancamento e Faccetta Diretta
Riabilitazione Estetica Totale


Visualizza il caso completo >>
Restauri Diretti
Riabilitazione Gruppo Frontale

 |